No Instituto Primer de Odontologia, oferecemos a expertise e a tecnologia necessária para transformar seu sorriso com implantes dentários. Desde 2013, temos dedicado nossos esforços a proporcionar tratamentos de alta qualidade em um ambiente acolhedor e profissional. Nossos especialistas são reconhecidos por suas habilidades e compromisso com a excelência.
Sorriso impécavel
Melhor autoestima
Saúde bucal
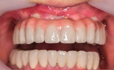
Você está pronto para dar o próximo passo em direção a um sorriso perfeito? No Instituto Primer, oferecemos a solução ideal para quem busca um implante dentário de alta qualidade. Com nossos implantes avançados, você desfrutará de benefícios incríveis:
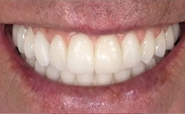
Sorriso Natural e Radiante: Recupere a estética e a confiança com dentes que se parecem e funcionam como naturais.
Mastigação Confortável: Volte a comer suas comidas favoritas com facilidade e sem desconforto.
Durabilidade e Segurança: Desfrute de uma solução dentária duradoura e confiável, sem preocupações.
Melhoria na Autoestima: Experimente a alegria de um sorriso renovado, que eleva sua autoestima e bem-estar.
Imagine a sensação de liberdade e satisfação ao ver seu sorriso transformado e sentir-se confiante em todas as situações. A escolha do Instituto Primer significa investir em sua saúde bucal com a garantia de um atendimento de excelência e uma experiência que vai além das suas expectativas.
Corrija o alinhamento dos dentes e melhore sua mordida com nossos tratamentos ortodônticos modernos. Obtenha um sorriso mais alinhado e saudável com a ajuda de nossos profissionais.
Tratamos de problemas na polpa dental com tratamentos eficazes, como o tratamento de canal, para aliviar a dor e salvar dentes comprometidos.
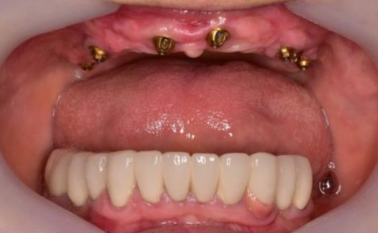
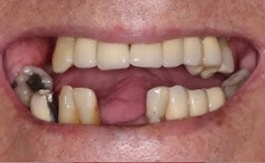
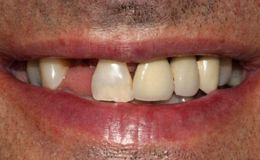
Substitua dentes perdidos com nossos implantes dentários avançados. Oferecemos soluções duradouras que restauram a função e a estética do seu sorriso.
Melhore a estética do seu rosto com nossos procedimentos de harmonização, incluindo preenchimentos e botox, para um sorriso mais equilibrado e natural.
Realizamos extrações de terceiros molares com precisão para aliviar desconfortos e evitar problemas futuros no alinhamento dos dentes.
Mantenha sua saúde bucal em dia com nossas limpezas dentárias, removendo placa e tártaro para prevenir problemas e garantir um sorriso saudável.
Conheça nossos especialistas que estão prontos para cuidar do seu sorriso com a máxima atenção e profissionalismo

Especialista em Implantodontia e Harmonização Orofacial, transformando sorrisos com precisão e cuidado.

Focado em Ortodontia e Estética, oferece soluções para um sorriso alinhado e esteticamente agradável.
Profissionais altamente qualificados e tecnologia avançada para garantir resultados excepcionais.
Uma abordagem personalizada e um ambiente confortável para um atendimento superior.
Soluções dentárias inovadoras e eficazes que atendem às suas necessidades individuais.
Todos os Direitos Reservados 2025 Desenvolvido Por Evolua Mentoria